Previous Slide Icon Next Slide Icon
Play Daily Button Pause Daily Button
Exit Daily Button

Przemoc i traumy prowadzą do zmian chemicznych w ludzkim DNA, które mogą być dziedziczone

Przemoc i traumatyczne doświadczenia prowadzą do zmian chemicznych w DNA człowieka i mogą być przekazywane kolejnym pokoleniom.
.get_the_title().

Zmiany te dokonywane są poprzez mechanizmy epigenetyczne, takie jak metylacja DNA i wpływają na ekspresję genów bez modyfikacji samej sekwencji DNA. Metylacja DNA polega na przyłączaniu grup metylowych do cytozyny w miejscach dinukleotydów CpG. Zmiany te mogą wyciszać lub aktywować geny, wpływając na różne funkcje biologiczne.

Na przykład, badania wykazały, że osoby, które doświadczyły traumy w dzieciństwie, mają zmieniony poziom metylacji w genie NR3C1, kodującym receptor glukokortykoidowy, co wpływa na reakcję organizmu na stres .​

Zmiany epigenetyczne mogą być przekazywane z pokolenia na pokolenie. Badania nad kobietami w ciąży, które doświadczyły przemocy, wykazały, że ich dzieci miały zmienione wzorce metylacji DNA w genach związanych z odpowiedzią na stres. Inne badania sugerują, że trauma doświadczona przez matki może prowadzić do epigenetycznych zmian u ich potomstwa, wpływając na ich podatność na zaburzenia psychiczne. W badaniu z 2025 roku analiza DNA syryjskich rodzin wykazała, że przemoc doświadczona przez kobiety w ciąży prowadziła do zmian epigenetycznych w genomach ich dzieci i wnuków. Zidentyfikowano 21 miejsc z zmienionymi znacznikami epigenetycznymi u matek i ich dzieci oraz 14 obszarów genomu z takimi zmianami u wnuków. Wykazano także, że dzieci matek, które doświadczyły przemocy domowej w czasie ciąży, miały wyższy poziom metylacji genu NR3C1, co może wpływać na ich reakcję na stres w późniejszym życiu.

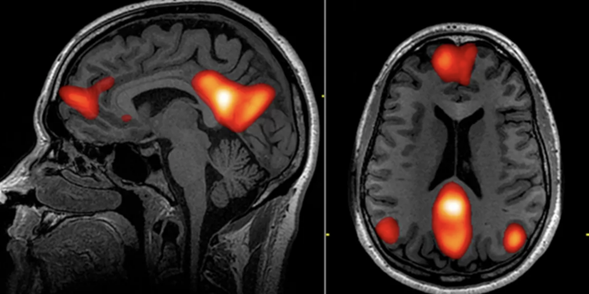
Istnieją także dowody, że epigenetyczne modyfikacje mogą dotyczyć także sprawców.

Na przykład, obniżona metylacja niektórych genów związanych z agresją (np. MAOA – gen wojownika) może prowadzić do nadmiernej reaktywności emocjonalnej i zwiększonej impulsywności. Niektóre badania sugerują, że osoby przejawiające przemoc mogą mieć podwyższoną reakcję dopaminową na działania związane z dominacją i agresją – co może sprawiać, że przemoc daje im 'nagrodę’ neurologiczną i utrwala ten wzorzec i może prowadzić do trwałych zmian morfologicznych.

NAUKA